Casi clinici:
Trattamenti protesici
multidisciplinari

Per ottenere una perfetta integrazione biologica, funzionale ed estetica del restauro
protesico,

è necessario, in molti casi, intraprendere un trattamento multidisciplinare che prevede il ricorso di terapie aggiuntive di Ortodonzia, di Parodontologia o di Chirurgia maxillo-facciale.

Si ricorre ad esempio all’utilizzo di un apparecchio ortodontico nei casi in cui, a causa di migrazioni dentarie, si devono riportare i denti nella giusta posizione prima di procedere con il trattamento protesico.

Quando invece le gengive non sono in uno stato di salute ottimale, attraverso terapie di Parodontologia si otterranno i presupposti per finalizzare in maniera ideale le riabilitazioni protesiche.

Nei casi di grosse alterazioni e asimmetrie ossee, si dovrà ricorrere ad interventi di Chirurgia Maxillo-Facciale grazie ai quali si creeranno condizioni gnatologiche corrette per ottimizzare il risultato finale.

Un affiatato Team di lavoro che valuta attentamente le condizioni cliniche iniziali del paziente, è alla base della scrupolosa formulazione ed esecuzione di un piano di trattamento multidisciplinare.

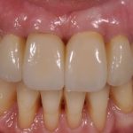
Approfondisci i dettagli di questo intervento attraverso le immagini prima/dopo:

Scopri i dettagli

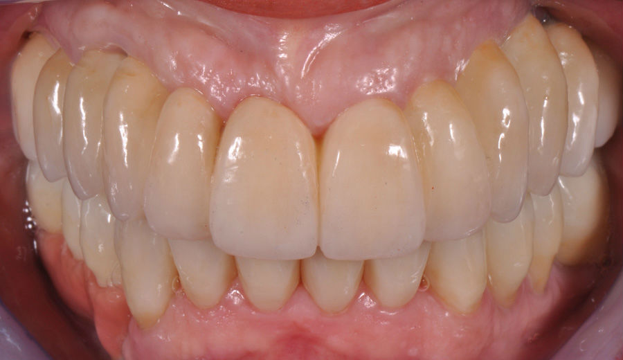
Approfondisci i dettagli di questo intervento attraverso le immagini prima/dopo:

Scopri i dettagli

Approfondisci i dettagli di questo intervento attraverso le immagini prima/dopo:

Scopri i dettagli

Approfondisci i dettagli di questo intervento attraverso le immagini prima/dopo:

Scopri i dettagli