Casi clinici:
Trattamenti protesici
di endodonzia

L’endodonzia è la branca dell’odontoiatria che ha come oggetto di studio i tessuti situati all’interno del dente (nervo o polpa dentale) e la cura delle patologie correlate ad essi.

Il trattamento endodontico, conosciuto comunemente anche se impropriamente con il termine “devitalizzazione”, è un intervento odontoiatrico ambulatoriale che ha come scopo principale la salvaguardia del dente, cercando di evitare quanto più possibile il ricorso all’estrazione e all’implantologia.

Eseguire cure endodontiche corrette, avvalendosi di strumentari e materiali all’avanguardia (microscopio operatorio, strumenti in leghe speciali, biomateriali innovativi, etc.), è di fondamentale importanza perché l’elemento dentario possa continuare a svolgere una funzione masticatoria normale e non presenti in futuro complicanze, quali granulomi o ascessi acuti.

Il paziente deve quindi essere consapevole che la devitalizzazione è lungi dall’essere una soluzione medica ordinaria e di facile esecuzione, come spesso viene percepita a causa di una diffusa superficialità e di un approccio troppo approssimativo espressi da alcuni operatori. Ciò genera nel paziente anche equivoci riguardo i costi della cura endodontica, dato che spesso si ritiene che essa debba essere una prestazione economica, confrontata soprattutto con l’implantologia che presenta, talora anche ingiustificatamente, prezzi assai elevati.

Negli ultimi anni si è assistito infatti ad un forte e criticabile incremento delle sostituzioni di denti con Impianti, chiaro segnale di come l’approccio all’endodonzia di qualità sia purtroppo ancora poco diffuso.

Alterazione cromatica degli elementi dentari interessati dalla problematica endodontica.

Nei dettagli notiamo una radiotrasparenza apicale causata dalla necrosi dell’incisivo centrale e dall’incongrua cura scanalare dell’incisivo laterale.

Successivamente la risoluzione della patologia endodontica grazie ad una perfetta sigillatura dei canali radicolari, e di conseguenza la risoluzione della problematica estetica con l’applicazione di corone in ceramica.

Scopri i dettagli

Necrosi pulsare dell’incisivo centrale inferiore di sinistra con alterazione cromatica.

Nei dettagli notiamo l’evidenza radiologica della lesione ossea conseguente alla necrosi.

In un primo momento c’è stato un tentativo di terapia scanalare con ortografia non andata a buon fine.
In seguito notiamo la radiografia post-operatoria dopo apicectomia e la radiografia di controllo dopo 4 anni, dove si evidenzia la completa guarigione della patologia periapicale.

L’ultima foto evidenzia il momento dopo la terapia endodontica-chirurgica e lo sbancamento endodontico.

Scopri i dettagli

Necrosi dell’incisivo superiore di sinistra con discromia e presenza di grossa rarefazione ossea.

Nei dettagli notiamo un alone scuro intorno alla radice: il segno di una grossa perdita di osso intorno ad essa.

Di seguito la guarigione della patologia periapicale con riformazione completa dell’osso periapicale.

Nella foto di fine trattamento si evidenzia lo sbiacamento endodontico ed il restauro con resina composita.

Scopri i dettagli

Granulomi a carico del primo molare inferiore destro.

Nei dettagli notiamo la radiografia post-operatoria dopo l’intervento di apicectomia e successivamente il controllo ad 1 anno.

Nell’ultima foto, con il controllo a 9 anni, si evidenzia la scomparsa dei granulomi grazie ad un corretto intervento di Endodonzia Chirurgica.

Scopri i dettagli

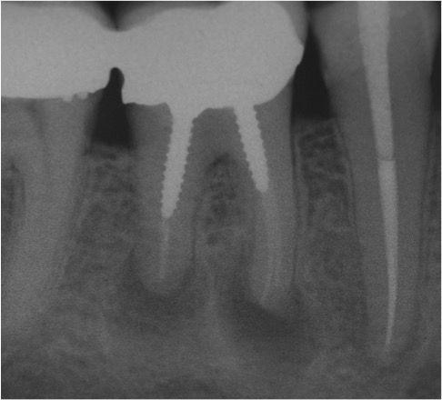
RX pre-operatoria dove si evidenza l’incompleta sigillatura dei canali di un molare inferiore di sinistra e la presenza di granuloma nella radice distale.

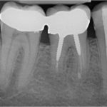
Successivamente la radiografia a 1 anno di distanza dal ritrattamento endodontico che mette in risalto la perfetta sigillatura dei canali e la scomparsa del granuloma.

Scopri i dettagli